سونوگرافی - اکوکاردیوگارفی Aplio i900

تامین کننده: تجهیزات پزشکی پارس
EcomEcomEcomEcomEcom (65 reviews)
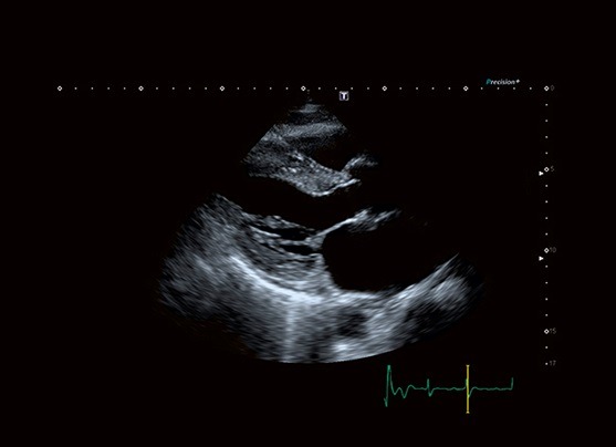
Aplio i900 را ملاقات کنید! Aplio i900 به گونه ای طراحی شده است تا در اتخاذ اطلاعات مورد نیاز برای تصمیم گیری مطمئن و سریع به شما یاری رساند. Aplio i900 تصویربرداری قلب و عروق را به سطح تازه ای از دقت، کارایی تشخیصی و بهره‌وری ارتقا می‌دهد.

طراحی متحولانه
Aplio i900 را ملاقات کنید! Aplio i900 به گونه ای طراحی شده است تا در اتخاذ اطلاعات مورد نیاز برای تصمیم گیری مطمئن و سریع به شما یاری رساند. Aplio i900 تصویربرداری قلب و عروق را به سطح تازه ای از دقت، کارایی تشخیصی و بهره‌وری ارتقا می‌دهد.

طراحی متحولانه iBeam به همراه قدرت پردازش فوق العاده افزایش یافته، شفافیت پیش بینی نشده ای را در تصویربرداری از ظریف‌ترین تا درشت‌اندام‌ترین بیماران با عمق نفوذ بهبود یافته فراهم می آورد.

تشخیص بهتر از اینجا آغاز می‌شود
پروب های Aplio i-series با پهنای باند فرکانسی بسیار وسیع، پهنای باند پروب های معمول را پوشش داده و حساسیت و قدرت تفکیک برتری را در میدان دید نزدیک و دور ارائه می‌دهند. ضمن کاهش قیمت، طراحی متحولانه این پروب ها، صرف نظر از وضعیت بیمار، می‌تواند تصویربرداری بهتری را فراهم آورد.


Aplio i900 تصویربرداری چهار بعدی قلب را به روال روزمره کلینیکی تبدیل می‌کند. پروب های تماماً آرایه ای شده، به طور خاصی کوچک و سبک هستند که آنها را ارگونومیک‌ تر و قابل دسترس‌تر می‌کند.


از تصویر عالی لذت ببرید
Tissue Enhancement تصاویری با یکنواختی و وضوح حیرت انگیز و نمایش بهبود یافته ای از مرزهای قلبی، بالاخص برای بیماران با شرایط سخت، ارائه می‌دهد.


Flex-M به شما اجازه می‌دهد که رد های آناتومیک درستی را در تصویر M mode از روی تصاویر زنده یا ذخیره شده با کیفیت یکسان به دست آورید


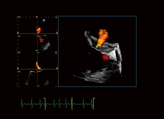
تکنولوژی پردازش سیگنال و پروب های با پهنای باند وسیع Aplio حساسیت، نفوذ و قدرت تفکیک مکانی فوق العاده را برای تمام حالات داپلر به ارمغان می آورد.

Aplio تصاویر Tissue Doppler و طیف های Pulsed Wave TDI با frame rate بالایی را به منظور زمان بندی دقیق فعالیت قلبی، به دو صورت بصری و کمّی، برای شما مهیا می‌کند.

محصولات مشابه